Can An Ultrasound Of The Neck Show Cancer / View All Pages Cancer Net : Ultrasound guidance is used to perform thyroid biopsies and improves the diagnostic accuracy of fine needle biopsy.
Dapatkan link
Facebook
X
Pinterest
Email
Aplikasi Lainnya
Can An Ultrasound Of The Neck Show Cancer / View All Pages Cancer Net : Ultrasound guidance is used to perform thyroid biopsies and improves the diagnostic accuracy of fine needle biopsy.. I was officially diagnosed hashimoto's by my endocrinologist 2 weeks ago but she has refused to do an ultrasound of the thyroid. A thyroid ultrasound may be ordered if a thyroid function test is abnormal or if you doctor feels a growth on your thyroid while examining your neck. These tests can also show whether a nodule is toxic or producing too much thyroxine, causing hyperthyroidism. While it can't diagnose cancer, it can detect the abnormal tissues that may possibly be cancerous. If the person has a lump in the neck, an fna can show if the mass is from cancer spread.
The image may or may not suggest cancer, but definitive diagnosis requires removal of. Although many unskilled observers would believe that size is a major issue, but it actually is not. I had an ultrasound done in 2012 but the report for this scan never reached my previous doctor's practice and so nothing was. While it can't diagnose cancer, it can detect the abnormal tissues that may possibly be cancerous. Ultrasound is a well established diagnostic test used in management of thyroid diseases.
Ultrasound Of Patient S Neck Region Revealing Multiple Enlarged Lymph Download Scientific Diagram from www.researchgate.net If this happens, it is called metastasis. I had an ultrasound done in 2012 but the report for this scan never reached my previous doctor's practice and so nothing was. Ultrasound uses sound waves to create images of the body on a computer monitor. I have ocd and my obsession of 30 years is that i have a tumor on in my throat or neck. This study was done to evaluate the use of ultrasound to examine lymph nodes in the neck in surgical planning for thyroid cancer surgery and to identify which patients are best served. It can be used with a fine needle aspiration test or core biopsy test to accurately direct the tip of the needle into the lump. Some of the indications for thyroid or neck ultrasound are thyroid nodules, goiter, thyroid cancer and other neck masses. Expert ultrasound can also help confirm a diagnosis of papillary thyroid cancer which has spread to the lymph nodes of the neck.
A thyroid ultrasound may be ordered if a thyroid function test is abnormal or if you doctor feels a growth on your thyroid while examining your neck.
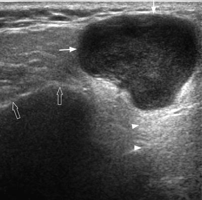
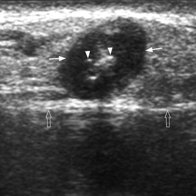
Head and neck cancers include cancers in: There can be more than one sentinel node. I had an ultrasound done in 2012 but the report for this scan never reached my previous doctor's practice and so nothing was. This study was done to evaluate the use of ultrasound to examine lymph nodes in the neck in surgical planning for thyroid cancer surgery and to identify which patients are best served. An ultrasound of the thyroid produces pictures of the thyroid gland and the adjacent structures in the neck. While it can't diagnose cancer, it can detect the abnormal tissues that may possibly be cancerous. The image may or may not suggest cancer, but definitive diagnosis requires removal of. For most types of cancer, a biopsy is the only sure way for the doctor to know if an area of the body has cancer. When ultrasound is performed on a patient with nodular goiter, or a patient with a history of thyroid cancer, finding a prominent lymph node with a rounded shape (long/short axis ratio < 2) and absent hilar line warrants further evaluation of the node (figs. Ultrasounds have many limitations an ultrasound is not good enough for many aspects of cancer. Carotid ultrasound tests for blocked or narrowed carotid arteries, which can increase the. Confirming that a lump in the neck is developing from the thyroid or connected tissue. Spread of thyroid cancer to the lymph nodes in the neck is common and increases the risk of cancer recurrence.
Each case is different and your doctor will explain your treatment options. An ultrasound of the thyroid produces pictures of the thyroid gland and the adjacent structures in the neck. But today, it is more common for a thyroid cancer to be incidentally identified on a ct/mri or neck ultrasound done for some reason unrelated to the thyroid. The camera remains attached either to a flexible tube called endoscope or to a probe, while it passes within an opening in your body, often your mouth. Ultrasound imaging is a noninvasive medical test that helps physicians diagnose and treat medical conditions.
Figure 3 From Post Thyroidectomy Neck Ultrasonography In Patients With Thyroid Cancer And A Review Of The Literature Semantic Scholar from d3i71xaburhd42.cloudfront.net Ultrasound is often one of the first line tests in the detection of cancer. These tests can also show whether a nodule is toxic or producing too much thyroxine, causing hyperthyroidism. Spread of thyroid cancer to the lymph nodes in the neck is common and increases the risk of cancer recurrence. I was officially diagnosed hashimoto's by my endocrinologist 2 weeks ago but she has refused to do an ultrasound of the thyroid. 8.4, 8.5, 8.6, 8.7, and 8.8). An ultrasound of the neck is used to examine the carotid arteries located on each side of a patient's neck. Our doctors also use ultrasound to check lymph nodes in the neck, where some forms of thyroid cancer can spread. It can be used with a fine needle aspiration test or core biopsy test to accurately direct the tip of the needle into the lump.
There can be more than one sentinel node.
Doctors often use ultrasound to guide a needle to do a biopsy (taking out fluid or small pieces of tissue to be looked at under a microscope). They deliver blood from your heart to your brain. It can be used with a fine needle aspiration test or core biopsy test to accurately direct the tip of the needle into the lump. A neck ultrasound may help diagnose (find): This test uses sound waves to produce a picture of your neck and lymph nodes on a computer screen. Its use is also limited in some parts of the body because the sound waves can't go through air (such as in the lungs) or through bone. An ultrasound may show your doctor if a lump is filled with fluid or if it's solid. The mouth (oral cavity or oral cancers) the tongue. A thyroid ultrasound may be ordered if a thyroid function test is abnormal or if you doctor feels a growth on your thyroid while examining your neck. I was officially diagnosed hashimoto's by my endocrinologist 2 weeks ago but she has refused to do an ultrasound of the thyroid. If this happens, it is called metastasis. Ultrasounds have many limitations an ultrasound is not good enough for many aspects of cancer. Throat cancer is often easily seen by an ent exam.
Carotid ultrasound tests for blocked or narrowed carotid arteries, which can increase the. Some of the indications for thyroid or neck ultrasound are thyroid nodules, goiter, thyroid cancer and other neck masses. Expert ultrasound can also help confirm a diagnosis of papillary thyroid cancer which has spread to the lymph nodes of the neck. It can detect abnormal tissues, growths, and cysts and give a suspicion of cancer based on how those images look. Ultrasound is widely available an is useful to identify abnormal lymph nodes that may contain cancer.
Ultrasonographic Differentiation Of Benign From Malignant Neck Lymphadenopathy In Thyroid Cancer Kuna 2006 Journal Of Ultrasound In Medicine Wiley Online Library from onlinelibrary.wiley.com But today, it is more common for a thyroid cancer to be incidentally identified on a ct/mri or neck ultrasound done for some reason unrelated to the thyroid. An ultrasound of the thyroid produces pictures of the thyroid gland and the adjacent structures in the neck. An ultrasound of the neck is used to examine the carotid arteries located on each side of a patient's neck. The mouth (oral cavity or oral cancers) the tongue. Doctors may also do tests to learn which treatments could work best. It can be used with a fine needle aspiration test or core biopsy test to accurately direct the tip of the needle into the lump. Ultrasound is relatively quick and simple test that gives very useful information about the soft tissues in the head and neck region including the lymph glands, salivary glands, thyroid gland and any abnormal lumps. The image of your thyroid and any nodules, even those you can't feel, will show up on a computer screen.
I had an ultrasound done in 2012 but the report for this scan never reached my previous doctor's practice and so nothing was.
People may use the word throat to describe different parts of the neck. Your two carotid arteries are located on each side of your neck. A neck ultrasound can be used to observe the thyroid gland to look for nodules, growths, or tumors. Although many unskilled observers would believe that size is a major issue, but it actually is not. Lymph nodes are part of the lymphatic system, which helps to protect us from infection and disease. If this happens, it is called metastasis. Part of the throat (cancers of the oropharynx and tonsils, nasopharynx and hypopharynx) the nose or sinuses (nasal and sinus cancer) the salivary glands. If the person has a lump in the neck, an fna can show if the mass is from cancer spread. The expert ultrasonographer will look for multiple changes. While it can't diagnose cancer, it can detect the abnormal tissues that may possibly be cancerous. Ultrasound guidance is used to perform thyroid biopsies and improves the diagnostic accuracy of fine needle biopsy. If this lump is of concern then a biopsy would be the next step. An ultrasound of the neck is used to examine the carotid arteries located on each side of a patient's neck.
Maciej gajos i miłosz szczepański. Raków z kolei z 29 "oczkami" jest czwarty. 18.10.2021 · lechia gdańsk mimo zwycięstw lechii gdańsk tomasz kaczmarek cały czas szuka nowych rozwiązań personalnych, a niekiedy zmiany w 11 wynikają ze strategii gry na konkretnego rywala. Zlatan alomerović (serbia), dušan kuciak (słowacja), antoni mikułko. Kadra lechii gdańsk na rundę jesienną sezonu 2021/2022: Kz3ubp87xfilmm from i.ytimg.com W sprawie ochrony osób fizycznych w związku z przetwarzaniem danych osobowych i w sprawie swobodnego przepływu takich danych oraz uchylenia dyrektywy 95/46/we (określane jako rodo, orodo, … Rafał pietrzak, kristers tobers (łotwa), bartosz kopacz, … 18.10.2021 · lechia gdańsk mimo zwycięstw lechii gdańsk tomasz kaczmarek cały czas szuka nowych rozwiązań personalnych, a niekiedy zmiany w 11 wynikają ze strategii ...
with a star tree cookie cutter set and a few extra sweet treats you can make a lovely holiday scene for the enjoyment of your sweet tooth. These delicious christmas cookie recipes are perfect for entertaining, gifting, or enjoying with your family. I am going to show you how to. There is no hack for instilli. lots of photos of the fin. People Are Decorating Their Christmas Trees With Flowers from cdn.architecturendesign.net Decorating christmas cookies is an activity i desperately want to enjoy, but my lack of fine motor skills and short attention span make it difficult. This infographic says something about the choice and see if it matches with your expectation. I am going to show you how to. Let's see what's your kids' favourite christmas cookies. This is the simplest christmas decor, and looks great, whether it is in a ...
Colleferro, c'è il trofeo santa barbara. Lazio in festa è il portale delle feste, delle sagre e degli eventi della regione lazio, un motore di ricerca per sapere sempre cosa fare e dove andare. If you are looking to buy or sell lazio fan token, gate.io is currently the most active exchange. Spazi dell'innovazione e incubazione d'impresa. Organizza la runners team colleferro del presidente el fadil soufyane. Scalini della torre di Pisa | Foto Pisa Torre pendente from www.ilturista.info Treffer ist er nun alleiniger rekordtorschütze. Domenica si corre sui 10 km in un evento ormai tradizionale dedicato alla patrona della città. 24.10.2021 · weil lazio rom große personalprobleme in der defensive drücken, steht romano floriani mussolini vor einer möglichen premiere in der serie a. Organizza la runners team colleferro del presidente ...
Komentar
Posting Komentar